Lungenkrebsscreening für Raucher als neue Kassenleistung ab April – Das sollten Sie wissen!

Jährlich wird in Deutschland bei circa 57.000 Menschen Lungenkrebs diagnostiziert – leider meistens zu spät, also im nicht-heilbaren Stadium. Ab dem 1. April startet nun ein neues Früherkennungsprogramm, das bei Menschen mit hohem Lungenkrebsrisiko mittels Computertomografie (CT) überprüft, ob verdächtige Veränderungen in der Lunge vorliegen.

Was Sie als mögliche Zielgruppe oder Angehörige wissen sollten, beantworten Ihnen in aller Kürze und Verständlichkeit Dr. Stephan Raab, Leiter des Lungenkrebszentrum Augsburg-Schwaben und Prof. Dr. Thomas Kröncke, Direktor der Diagnostischen und Interventionellen Radiologie sowie Prof. Dr. Martin Schwaiblmair, Leiter der Sektion Pneumologie des Universitätsklinikums Augsburg.

Am CCCA werden Ergebnisse und Therapieoptionen im fachübergreifenden Ärzteteam abgestimmt und mit einer Patientin besprochen. © Privat

Lungenkrebs ist bei Männern die häufigste Krebs-Todesursache, bei Frauen die zweithäufigste. Woran liegt es, dass ausgerechnet diese Tumorart so oft tödlich ausgeht?

Lungenkrebs bildet sehr früh Metastasen (Absiedlungen im Körper), wächst sehr schnell und verursacht in den frühen Stadien kaum oder nur sehr geringe Symptome, da die Lunge keine Schmerzrezeptoren im Lungengewebe besitzt und kleinere periphere Tumoren weder Husten noch Atemnot hervorrufen. Die häufigsten Symptome (Husten, Dyspnoe, Müdigkeit) sind unspezifisch und werden von Rauchern oft als „normal" abgetan. 

Die frühen Stadien können zwar mittlerweile sehr gut behandelt werden, werden aber aus oben genannten Gründen derzeit oft nur durch Zufall entdeckt. 

So werden bis jetzt über 50% aller Lungenkarzinome erst im metastasierten Stadium diagnostiziert, wenn die 5-Jahres-Überlebensrate nur noch 6% beträgt. Im Gegensatz dazu werden Brust-, Prostata- und Darmkrebs durch etablierte Screening-Programme (Mammographie, Koloskopie) häufig in frühen, heilbaren Stadien entdeckt. 

Wer hat seitens der Krankenkasse nun Anspruch auf eine solche Vorsorgeuntersuchung? (Die detaillierten Einschlusskriterien sind unten) und warum genau diese Zielgruppe?

Im Gegensatz zu anderen Screening Programmen wird hier berücksichtigt, dass Lungenkrebs vor allem bei Rauchern auftritt. Deswegen wird die Untersuchung nur Menschen angeboten, die ein hohes Risiko für Lungenkrebs haben. Dabei wird auf das Alter und die Intensität des Rauchens geachtet.  

(Eine Checkliste aller notwendigen Einschlusskriterien finden Sie unten)

 

Was genau versteht man unter dem „neuen Lungenkrebsscreening für Raucher:Innen“ und was kann man sich von diesem a) als individuell Betroffene(r)  b) gesellschaftlich erhoffen?

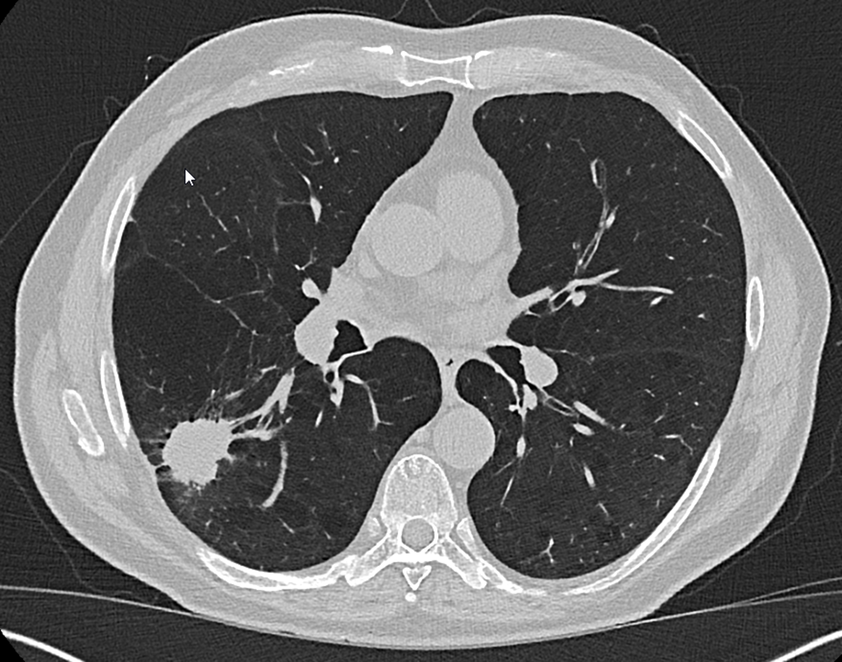
Das „neue Lungenkrebsscreening“ bezeichnet ein strukturiertes Früherkennungsprogramm mittels jährlicher Niedrigdosis-Computertomographie (LDCT) für Hochrisikopersonen.

Mithilfe des CT können speziell qualifizierte Radiologinnen und Radiologen verdächtige Veränderungen in der Lunge sicher erkennen.

Diese Untersuchung kann einmal jährlich durchgeführt werden und bringt verschiedene Vorteile mit sich:

Für den individuellen Patienten ist zentral, dass im Falle eines auffälligen Befundes die Diagnose in einem frühen Stadium erfolgt. Dies bedeutet gemeinhin, eine wesentlich bessere Prognose eine bessere Lebensqualität mit sich bringt.

Die Teilnahme an einem Screening-Programm ist zudem auch ein wichtiger Anstoß für eine längerfristige Rauchentwöhnung. Denn auch – oder gerade! – bei einem negativen Befund ist und bleibt der konsequente Rauch-Stopp die beste Vorsorge! 

 

Was passiert, wenn beim Screening ein auffälliger Befund herauskommt? 

Falls es zu einem Verdacht kommt, dass Lungenkrebs vorliegen könnte, wird stets eine Zweitmeinung durch einen qualifizierten Radiologen an einem Lungenkrebszentrum wie dem des Comprehensive Cancer Center Augsburg (CCCA) am Uniklinikum eingeholt.

Im Falle eines kontrollbedürftigen Befundes* (i.e. eine Veränderung in Gewebe, die von der Norm abweicht, aber nicht sofort auf Krebs schließen lässt) wird das Kontrollintervall verkürzt (z.B. 6 Monate). Eventuell können auch weitere diagnostische Schritte in Erwägung gezogen werden (PET/CT). 

Im Falle eines abklärungsbedürftigen Befundes (i.e. eine Veränderung, die den Verdacht auf Krebs nahelegt) wird in einer interdisziplinären Fallkonferenz z.B. im CCCA das weitere Vorgehen besprochen und mit dem Patienten abgestimmt. 

Wenn bei Patienten ein solcher Befund vorliegt, können Patienten sich gerne an das Lungenkrebszentrum (DKG zertifiziert) des CCCA wenden. Der erste Kontakt erfolgt über die zentrale Anlaufstelle. Der große Vorteil für Patienten ist hierbei, dass von Anfang an alle Spezialabteilungen für Lungenkrebs (Pneumologie, Thoraxchirurgie, Onkologie, Strahlentherapie und Radiologie) den Patienten zu seinem Befund beraten. Somit bekommen Patienten mit dem ersten Kontakt bereits eine allumfassende Beratung und müssen keine Einzeltermine bei den einzelnen Fachabteilungen vereinbaren. Das spart wertvolle Zeit und Patienten erhalten sofort Termine für anschließende Untersuchungen oder Behandlungen.

 

An wen kann man sich für weitere Informationen zum Lungenkrebsscreeningwenden?

Der initiale Einschluss in das Lungenkrebsscreening erfolgt außerhalb des Uniklinikums über qualifizierte Hausärzte, Internisten und Arbeitsmediziner, die an einen qualifizierten Radiologen überweisen. Das CCCA des Uniklinikums ist dann im zweiten Schritt bei abklärungsbedürftigen Befunden im CT der optimale Ansprechpartner.

Für alle Fragen steht Ihnen die Zentrale Anlaufstelle des CCCA zur Verfügung, bei der Sie sich auch telefonisch oder per E-Mail über alles Weitere informieren können (Kontaktdaten und Öffnungszeiten finden Sie unten). 

Kurz und Knapp - Checklist für das Lungenkrebsscreening:

☐  50 – 75 Jahre alt

☐   Raucher oder Rauchstopp vor weniger als 10 Jahren

☐   mindestens 25 Jahre Raucher

☐   mindestens 15 Packungsjahre*

☐ bisher ist keine Lungenkrebserkrankung bekannt

 

Alle Punkte müssen erfüllt sein, um in diese Risikogruppe aufgenommen zu werden und am Screening-Programm teilnehmen zu können. 

* wie lange rauche ich schon/habe ich geraucht? (Jahre) x Packungen/Tag (zB.44 Jahre x 0.5 Packungen pro Tag = 22 Packungsjahre)

Kontakt und Info:

Anlaufstelle des Comprehensive Cancer Centers Augsburg (CCCA)

Telefon: 0821 400-3434
Fax: 0821 400-173434
E-Mail: ccca@uk-augsburg.de

Montag bis Donnerstag 8:30 Uhr bis 16:30 Uhr
Freitag 8:30 Uhr bis 14:30 Uhr

Eine weitere Neuheit im Rahmen der neuen Lungenkrebsvorsorge: Erstmals ist auch die Nutzung einer Software zur automatischen Lungenrundherderkennung verpflichtend, die im Anschluss an die Befundung sowohl vom Erst- als auch Zweitbefunder genutzt werden muss. (Bild © UKA)

Typische Tumornarbe. Die Entfernung erfolgt in der Regel in einer Operation mit minimalinvasiven Verfahren („Schlüssellochtechnik“) (Bild © UKA)