Die interventionelle Schmerztherapie an der Wirbelsäule spielt sowohl bei der Behandlung von stationären PatientInnen als auch bei ambulanten Patienten, die über externe Zuweiser vorgestellt werden, eine wichtige Rolle.
In enger Zusammenarbeit mit vielen Kliniken wie Neurochirurgie, Neurologie, Unfallchirurgie, Anästhesiologie/Schmerzambulanz aber auch Innere Medizin/Rheumatologie, Strahlentherapie und Onkologie sowie Palliativmedizin stellen wir unsere Expertise für die Diagnostik und Therapie bereit.
Unsere Patienten profitieren hierbei von unserer speziellen langjährigen Erfahrung mit der Diagnostik und Therapie von schmerzhaften Wirbelsäulenerkrankungen unterschiedlicher Ursachen wie beispielsweise knöchern verschleißbedingte Erkrankungen, Schmerzen durch Bandscheibenvorfälle, Knochenbrüche bei Osteoporose oder auch Tumoren.
Dabei nehmen wir uns besonders viel Zeit, um die Beschwerden, den klinisch/neurologischen Untersuchungsbefund und die Ergebnisse der Bildgebung im Rahmen unserer Wirbelsäulensprechstunde in der Zusammenschau zu beurteilen, ausführlich mit den PatientInnen zu besprechen und gemeinsam einen Therapieplan zu entwickeln.
Die Vorstellung in unserer Wirbelsäulensprechstunde wird von PatientInnen auch gerne zur Zweitmeinung im Hinblick auf geplante Maßnahmen an der Wirbelsäule, wie beispielsweise operative Eingriffe, genutzt.
Zur Therapie stehen unsere modernen Großgeräte wie Computertomographen und Durchleuchtungsgeräte (Zwei-Ebenen-Angiographie) zur Verfügung, die schonendes und präzises Arbeiten im Millimeterbereich gewährleisten, was der Sicherheit und der Verbesserung der klinischen Ergebnisse für unsere PatientInnen dient.
Wir halten das gesamte Spektrum minimalinvasiver interventioneller Therapien an der Wirbelsäule bereit. Hier sind insbesondere zu nennen
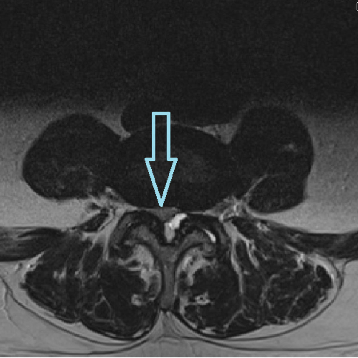
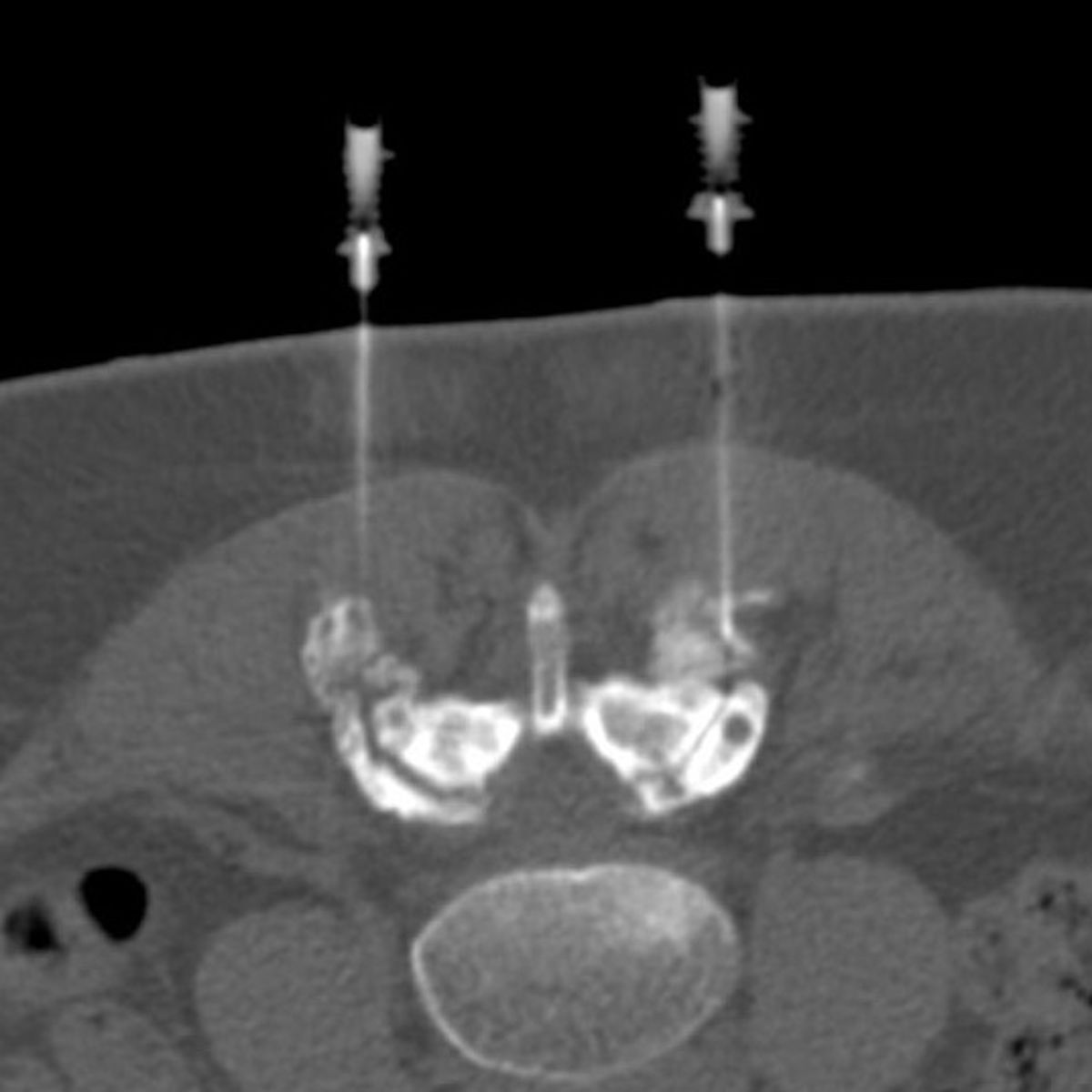
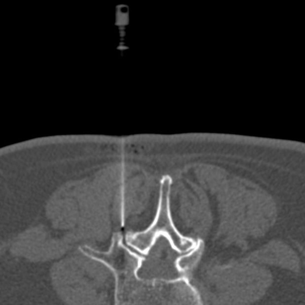
- Minimalinvasive CT-gesteuerte Schmerztherapien
- Periradikuläre Therapie
- epidurale Überflutung
- Facettengelenksblockaden/-denervierungen
- ISG-Infiltrationen/-denervierungen
- Synovialzystensprengung
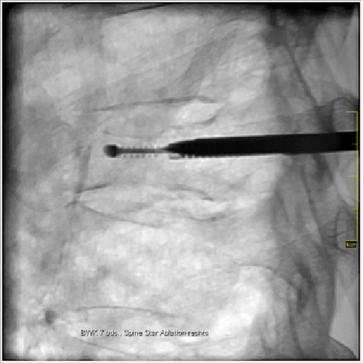
- Durchleuchtungsgesteuerte Schmerztherapien
- Kyphoplaste/Vertebroplastie
- Tumorablation
Kontakt
Für weitere Informationen oder einen Sprechstundentermin nehmen Sie Kontakt mit uns auf!
Sprechstunden, Ambulanzen und Kontakt
Dr. med. Robert Fessl
Facharzt für Diagnostische Radiologie, Schwerpunktbezeichnung Neuroradiologie
Facharzt für Neurochirurgie
E-Mail: robert.fessl@uk-augsburg.de
