Engstellen (Stenosen) der hirnversorgenden Gefäße sind meist Folge einer Arteriosklerose. Sie können zu Schlaganfällen führen, wenn
- sich an der Engstelle Gerinnsel bilden und dann losreißen (Embolie) oder
- die Blutversorgung hinter der Engstelle nicht mehr ausreicht.
Solche Engstellen sind - wie die Arteriosklerose - sehr häufig und müssen nicht zu Beschwerden führen: sogenannte asymptomatische Stenosen. Mitunter werden sie bei Untersuchungen des Gehirns mit Kernspintomographie oder Ultraschall gefunden.
In unserer neurovaskulären Sprechstunde beraten wir PatientInnen mit Gefäßstenosen
- zum Risiko für Schlaganfälle,
- Möglichkeiten der Risikoreduktion und
- auch zur Frage, ob und welche Behandlung der Stenose sinnvoll ist.
Zur Behandlung kommt je nach Lage der Engstelle und den übrigen Befunden eine Operation oder eine interventionelle Therapie in Betracht. Zur Abwägung der Therapieoptionen werden die PatientInnen in einem interdisziplinären Gefäßboard mit der Neurologie und Gefäßchirurgie gemeinsam diskutiert.
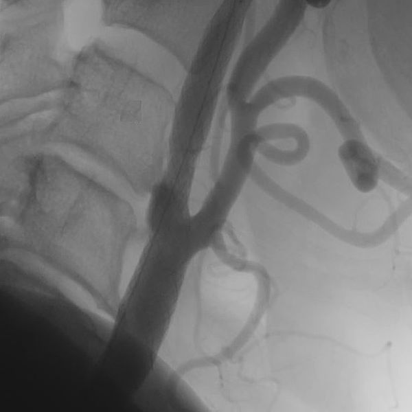
Die interventionelle Therapie von Stenosen erfolgt über einen Gefäßkatheter, der meist von der Leiste oder vom Arm bis in den Halsbereich vorgeschoben wird. Dort kann mit Hilfe eines Ballons die Engstelle zunächst aufgedehnt und dann mit einer Gefäßstütze (Stent) stabilisiert werden.
Solche Eingriffe sind - ebenso wie die Operation - nicht risikofrei. Umso wichtiger ist uns, dass wir die PatientInnen sorgfältig, besonnen und mit viel Zeit beraten. Wir nutzen dabei die Informationen von PatientInnen und ihrer Vorgeschichte, die körperliche Untersuchung, Ultraschall, CT und MRT gleichermaßen, um die Risikoabwägung zu treffen.
Kontakt
Wenn Sie Fragen zu einer Stenose haben oder einen Termin in der neurovaskulären Ambulanz ausmachen wollen, nehmen Sie jederzeit Kontakt mit uns auf!
Sprechstunden, Ambulanzen und Kontakt
Prof. Dr. med. Ansgar Berlis
Chefarzt der Diagnostischen und Interventionellen Neuroradiologie
Dr. med. Christoph Maurer
Facharzt für Diagnostische Radiologie
Schwerpunktbezeichnung Neuroradiologie
E-Mail: christoph.maurer@uk-augsburg.de
