Das Universitätsklinikum Augsburg behandelt als einziger Akutversorger eines riesigen Einzugsgebiets etwa 2000 Schlaganfälle im Jahr.
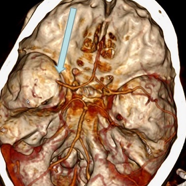
Hierfür wurde mit dem Stroke pathway ein interdisziplinäres Behandlungskonzept entwickelt, um eine ultraschnelle CT-Diagnostik mit Gefäßdarstellung (CT-Angiographie) und ggf. auch Darstellung der Blutversorgung (CT-Perfusion) zu ermöglichen.
Dabei sind NeurologInnen und NeuroradiologInnen unmittelbar vor Ort, um bei Verschlüssen oder Engstellen (Stenosen) der hirnversorgenden Gefäße die interventionelle Schlaganfalltherapie zu veranlassen.
Blutgerinnsel (Thromben) der großen hirnversorgenden Gefäße werden im Angiographieraum mit einem Gefäßkatheter u.a. mit Saugmanövern (Aspiration) und Fangnetzen (Stent-Retriever) entfernt. Engstellen können auch notfallmäßig mit Gefäßstützen (Stents) beseitigt werden.
Im Jahr werden etwa 200 interventionelle Schlaganfalltherapien durchgeführt. Damit zählen wir zu einem der größten Zentren für diese Behandlung. PatientInnen werden auch von anderen Kliniken für diese Behandlung zu uns gebracht.
Symptome eines Schlaganfalles sind v.a. Sprachstörungen, Lähmungen, Gesichtslähmung und Sehstörungen. Wenn bei Ihnen solche Beschwerden auftreten, rufen Sie sofort den Rettungsdienst: 112.
Dr. med. Christoph Maurer
Facharzt für Diagnostische Radiologie
Schwerpunktbezeichnung Neuroradiologie
E-Mail: christoph.maurer@uk-augsburg.de
