Hydrocephalus
und Tethered cord

Hydrocephalus und Tethered-cord

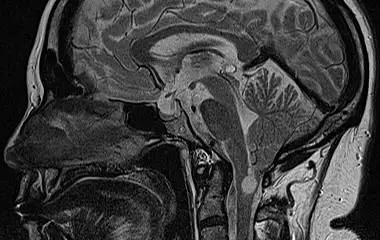
Der Bereich Hydrozephalus, Chiari-Malformation und Tethered-Cord-Syndrom umfasst die Diagnostik und Behandlung komplexer Erkrankungen des Liquorsystems sowie des Gehirns und Rückenmarks. Wir behandeln angeborene und erworbene Formen des Hydrozephalus, einschließlich des Normaldruckhydrozephalus, der sich häufig durch Gangstörungen, kognitive Veränderungen und Blasenfunktionsstörungen äußert. Ein weiterer Schwerpunkt ist die Chiari-Malformation, bei der es zu einer Verlagerung von Kleinhirnanteilen in den Spinalkanal kommen kann und die vielfältige neurologische Symptome verursachen kann. Das Tethered-Cord-Syndrom beschreibt eine krankhafte Fixierung des Rückenmarks, die sowohl in klassischer als auch in okkulter Form auftreten und zu Schmerzen, neurologischen Defiziten oder Funktionsstörungen führen kann. Ziel unserer Behandlung ist es, neuralen Strukturen zu entlasten, eine weitere Schädigung zu verhindern und die Lebensqualität der Patientinnen und Patienten zu verbessern. Grundlage hierfür sind eine präzise Diagnostik, individuell abgestimmte Therapiekonzepte und eine umfassende, verständliche Aufklärung.

Unsere Schwerpunkte

Hydrocephalus

Tethered-Cord

Arnold-Chiari Malformation

»Die Erkrankungen des Liquorsystems und Rückenmarks werden nicht selten übersehen. Es ist sehr erfüllend, Patientinnen und Patienten nach teilweise langem Leidensweg eine neue Perspektive bieten zu können.«
Mohammad Hazaymeh, Funktionsoberarzt

Unser Leistungsspektrum

Unser Behandlungsspektrum umfasst moderne operative und konservative Therapieverfahren für Erkrankungen des Liquorsystems sowie des Gehirns und Rückenmarks bei erwachsenen Patientinnen und Patienten. 
Bei Hydrozephalus bieten wir verschiedene Formen der Liquorableitung an, darunter den Liquorshunt und den ventrikuloperitonealen Shunt (VP-Shunt), individuell angepasst an die jeweilige Erkrankung. Als alternative, shuntunabhängige Therapie führen wir die endoskopische Drittventrikulozisternostomie (ETV) durch, sofern die anatomischen Voraussetzungen gegeben sind. Patientinnen und Patienten mit Arnold-Chiari-Malformation behandeln wir durch eine gezielte mikrochirurgische Dekompression, um den Liquorfluss zu verbessern und neurologische Symptome zu lindern. Beim Tethered-Cord-Syndrom, einschließlich okkulter Formen, setzen wir auf ein minimalinvasives Detethering zur schonenden Entlastung des Rückenmarks.

Kinder und Jugendliche werden in unserer Sektion für Kinder- und Jugendneurochirurgie behandelt, sodass sich unser Team ausschließlich auf die Versorgung erwachsener Patientinnen und Patienten konzentriert.

Unsere Arbeitsgruppe:

Mohammad Hazaymeh

Funktionsoberarzt
Facharzt für Neurochirurgie

E-Mail: mohammad.hazaymeh@uk-augsburg.de

Publikationen

PD Dr. med. habil. Nadine Lilla

Leitende Oberärztin und stellvertretende Klinikdirektorin
Fachärztin für Neurochirurgie

Zusatzbezeichnung Neurochirurgische Intensivmedizin
Zertifikat Medizindidaktik der Bayerischen Universitäten
DWG Basiszertifikat

E-Mail: nadine.lilla@uk-augsburg.de

Publikationen