Kardiovaskuläre Computertomographie
Was beinhaltet die kardiovaskuläre Computertomographie?
Die kardiovaskuläre Computertomographie umfasst alle Untersuchungen des Herzens und der Gefäße, die mittels Computertomographie durchgeführt werden können. Hierzu zählen u.a.:
- Kardio-CT mit Koronar-CT-Angiographie: Die hochauflösende Herz-CT (Kardio-CT) mit Darstellung der Herzkranzgefäße (Koronar-CT-Angiographie) ermöglicht detaillierte Einblicke in Herzstrukturen und hat sich insbesondere für die Beurteilung der Herzkranzgefäße als hervorragende nicht-invasive Alternative zur Herzkatheteruntersuchung etabliert. Bei gleichzeitig deutlich reduzierter Strahlenbelastung kann dank modernster CT-Technologie nicht nur eine 3D-Darstellung des kompletten Gefäßbaums der Herzkranzgefäße angefertigt werden, sondern es können auch winzige Verkalkungen oder weiche Plaques in den Gefäßen visualisiert und quantifiziert werden. Auf diese Weise leistet diese CT-Untersuchung einen wertvollen Beitrag zur Abschätzung des Herzinfarktrisikos der untersuchten Patientinnen und Patienten.
- CT-Angiographie der Aorta und TAVI-CT: Die Aortenklappenstenose ist die häufigste klinisch relevante Herzklappenerkrankung und weist insbesondere im höheren Lebensalter eine deutlich zunehmende Inzidenz auf. Patientinnen und Patienten mit Aortenklappenstenose leiden oft an zusätzlichen schweren Grunderkrankungen, z.B. einer Nieren- oder Herzinsuffizienz, und haben deshalb eine deutlich eingeschränkte Operationsfähigkeit. Um diese Patientinnen und Patienten einer Behandlung zugänglich zu machen, wurde die kathetergestützte minimal-invasive transarterielle Aortenklappen-Implantation (trans-catheter aortic valve implantation, TAVI) entwickelt. Für den Erfolg dieses Verfahrens ist unter anderem die Auswahl des Klappenmodells (durch Abschätzung der Klappendimension) und des optimalen Zugangsweges von essentieller Bedeutung. Die TAVI-CT mit modernsten 3D-Rekonstruktionen hat sich hier für eine exakte Planung des Eingriffs etabliert, da sie bewegungsfreie und detailgetreue Darstellungen der gesamten Zielregion und des Aortenbogens bis zur Leiste liefert. Die im Rahmen dieser Untersuchung ermittelten exakten Messwerte (z.B. TAVI-Projektionswinkel, welcher für die Implantation benötigt wird), die Darstellung der Anatomie der Aorta bzw. des Brustkorbs und die Detektion relevanter Engstellen in den Zugangsgefäßen (z.B. aufgrund von Verkalkungen) helfen der Kardiologin bzw. dem Kardiologen, die Behandlungsstrategie optimal auf die Patientin bzw. den Patienten abzustimmen.
- CT-Angiographie der Becken-Bein-Gefäße: Hier geht es meist um die Abklärung einer Schaufensterkrankheit (Claudicatio intermittens; periphere arterielle Verschlusskrankheit = pAVK). Die CT-Angiographie kann behandlungswürdige Engstellen in den Becken- und Beinarterien nachweisen oder ausschließen. Die detailreiche Darstellung dieser Engstellen vereinfacht die Entscheidung, ob eine gefäßchirurgische Therapie (z.B. Bypass) oder eine minimal-invasive (endovaskuläre) Therapie (Ballondilatation mit oder ohne Stent-Implantation) vorzuziehen ist. Ebenso dient die Untersuchung als Verlaufskontrolle nach einer Stent-Implantation oder einer Bypass-OP.
Spezielle Geräteausstattung
Vor allem dank unseres neuen und hochmodernen CT-Scanners, dem Photon-Counting-Computertomographen (NAEOTOM Alpha mit Quantum Technologie, Siemens Healthineers, Erlangen), aber auch mit Hilfe unseres Dual-Source-CT-Scanners (SOMATOM Definition Flash, Siemens Healthineers, Erlangen) können wir das gesamte Spektrum der kardiovaskulären CT-Diagnostik auf Spitzenniveau anbieten.
Beide CT-Scanner liefern im Vergleich zu früheren CT-Generationen deutlich detailreichere Bilder mit verbessertem Kontrast und zusätzlichen spektralen Informationen (Informationen über Gewebe- und Materialzusammensetzung) – und das bei gleichzeitig reduzierter Strahlendosis. Vor allem bei der Herzbildgebung, bei der das Herz als sich regelmäßig bewegendes Objekt abgebildet werden muss, führt die Technologie dieser modernen Scanner zu einer entscheidenden Verbesserung der Bildqualität und erlaubt auch die Untersuchung von Patientinnen und Patienten mit schnellen oder unregelmäßigen Herzrhythmen.
Je nach Fragestellung und Untersuchungsbedingungen verwenden wir eine Kombination verschiedener technischer Möglichkeiten, wodurch z.B. die Dosis reduziert wird oder zusätzliche wertvolle Bildinformationen gewonnen werden. Hierzu zählen u.a.:
- Aufnahme der Koronararterien innerhalb nur eines Herzschlages ("Single Heartbeat Acquisition") mittels schneller Tischbewegung
- Prospektive EKG-Triggerung
- Bildrekonstruktionsverfahren (sog. "modellbasierte iterative Rekonstruktionen"), die bei allen Untersuchungen eine zusätzliche Reduktion der Strahlendosis ermöglichen, ohne dabei die Bildqualität relevant einzuschränken.
Was erwartet mich bei der Untersuchung?
Die kardiovaskuläre Computertomographie ähnelt im Ablauf im Wesentlichen jeder anderen CT-Untersuchung. In fast allen Fällen werden wir für die Untersuchung Kontrastmittel über eine periphere Vene injizieren. Dafür benötigen wir aktuelle Laborwerte für die Nierenfunktion und Schilddrüsenfunktion (Kreatinin und TSH). Sie müssen für die Untersuchung nicht nüchtern sein und dürfen am Tag der Untersuchung auch Kaffee oder Tee getrunken haben. Bitte nehmen Sie auch alle Medikamente ganz normal ein.
Um ein auf Sie und die Fragestellung optimal abgestimmtes Untersuchungsprotokoll auszuwählen, wird die zuständige Radiologin bzw. der zuständige Radiologe vor der Untersuchung ausführlich mit Ihnen sprechen und Ihre Krankengeschichte studieren.
Für die CT-Untersuchung des Herzens und für manche CT-Untersuchungen der Hauptschlagader werden Ihnen vier EKG-Elektroden auf den Brustkorb geklebt - darüber erkennt der CT-Scanner in welcher Kontraktionsphase sich das Herz im Moment der Aufnahme befindet. Um optimale Voraussetzungen für die Kardio-CT zu schaffen, verabreichen wir möglicherweise vor der Untersuchung noch einen kurzwirksamen intravenösen Beta-Blocker (Metoprolol oder Esmolol) sowie Nitro-Spray unter die Zunge. Die eigentliche Untersuchung dauert nur wenige Minuten.
Welche Patientinnen und Patienten untersuchen wir?
1. Alle stationären Patientinnen und Patienten des Universitätsklinikums Augsburg erhalten kurzfristig einen Termin, bei Bedarf auch vor- oder nachstationär. Dabei arbeiten wir sehr eng mit den ärztlichen Teams der I. Medizinischen Klinik (Kardiologie), der Herzchirurgie und der Gefäßchirurgie zusammen.
2. Allen ambulanten Patientinnen und Patienten mit vorab geklärter Kostenübernahme versuchen wir ebenfalls, kurzfristig einen Termin anzubieten. Die privaten Krankenversicherungen erstatten die Kosten für die Untersuchung in der Regel vollständig. Für gesetzlich Versicherte bieten wir die Untersuchung als ambulante Selbstzahlerleistung an.
Die seit dem 01.01.2025 in den Leistungskatalog der gesetzlichen Krankenversicherung aufgenommene CT-Koronarangiographie (CCTA) gemäß der Nr. 42 der Anlage I der MVV-RL auf kardiologische Überweisung nach Bestimmung einer Vortestwahrscheinlichkeit oder bei geplanten operativen Eingriffen am Herzen wird in der Radiologie am UKA im Rahmen der ambulanten Versorgung nicht angeboten. Wenn Sie über eine entsprechende Überweisung verfügen, wenden Sie sich bitte an eine radiologische Praxis im niedergelassenen Versorgungsbereich.
Hier finden Sie eine kurze Checkliste für eine Überweisung zum Herz-CT.
Typische Fragestellungen der kardiovaskulären Computertomographie: Beispiele
1) Ausschluss von Engstellen der Koronararterien:
Ein 55-jähriger Patient ohne kardiovaskuläre Risikofaktoren leidet seit einiger Zeit unter einem Engegefühl in der Brust bei körperlicher Belastung. In der CT-Koronarangiographie können wir Engstellen der Koronararterien und somit eine koronare Herzerkrankung sicher ausschließen. Für diese Information war vor wenigen Jahren noch eine Herzkatheteruntersuchung erforderlich. Diese war durch die Information der CT-Untersuchung nicht mehr erforderlich.
2) Verdacht auf angeborene Anomalien der Koronararterien:
Bei dieser 80-jährigen Patientin fiel bei der Herzkatheteruntersuchung ein ungewöhnlicher Verlauf der Koronararterien auf. Die CT-Koronarangiographie lässt die genauen anatomischen Verhältnisse sehr schön erkennen: Es liegt ein gemeinsamer Ursprung sämtlicher Koronararterien im Bereich des rechten Koronarostiums vor (*) mit Verlauf des linken Hauptstamms zwischen der Lungenarterie und der Aorta auf die eigentlich linke Herzseite. Häufig sind dies auch Zufallsbefunde, die jedoch gerade bei jüngeren Patienten eine therapeutische Konsequenz haben können.
3) Beurteilung von koronararteriellen Bypässen oder von Erkrankungen der Aorta:
Bei dieser 65-jährigen Patientin fiel eine Erweiterung der thorakalen Aorta im Röntgenbild auf. Die CT-Angiographie der thorakalen Aorta arbeitet hier sehr eindrücklich das teilweise thrombosierte Aneurysma des Aortenbogens heraus (weißer Pfeil). Gleichzeitig besteht auch hier eine sehr gute Bildqualität im Beriech der Koronararterien (orangener Pfeil).
Auch die Beurteilung des Zustands von koronararteriellen Bypässen ist im CT unkompliziert möglich.
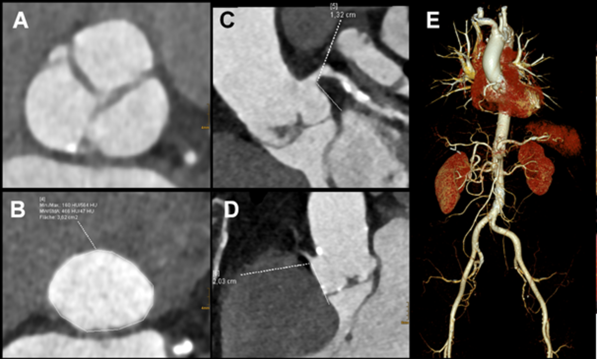
4) Planungsuntersuchungen vor Trans-Katheter Aortenklappenersatz (TAVI):
Patientinnen und Patienten mit hochgradiger Aortenklappenstenose erhalten heutzutage häufig einen sog. Trans-Katheter Aortenklappenersatz (TAVI). Zur Planung dieses Eingriffs und zur Auswahl der richtigen Klappengröße ist davor eine CT-Angiographie von Thorax und Abdomen erforderlich. Diese ermöglicht die genaue Charakterisierung der Aortenklappenanatomie (A) sowie der Größe des Aortenrings (B) sowie eine Abstandsbestimmung des Koronararterien-Ursprungs der linken (C) und rechten Koronararterie (D) von der Klappenebene. Gleichzeitig können auch die gesamte Aorta und die Beckenarterien beurteilt werden hinsichtlich der Eignung für einen Zugangsweg über die Leiste (E).