Was sind Rhabdoide Tumoren?
Definition
Rhabdoide Tumoren sind seltene, sehr aggressive Tumorerkrankungen, die vorwiegend bei Kleinkindern auftreten. Es gibt in der Fachliteratur nur wenige verlässliche Daten zu Häufigkeit, Ursachen und Behandlungsstrategien. Neben Fallserien, Studien an Instituten sowie retrospektiven Analysen von Serien einzelner Kliniken gibt es wenig veröffentlichte Daten zur Epidemiologie oder zu erfolgversprechenden klinischen Studien. Die meisten veröffentlichten Untersuchungen bestehen aus kleineren Fallserien.
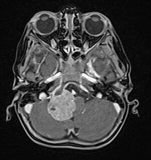
Rhabdoide Tumoren können in allen Geweben des Körpers entstehen. Am häufigsten betreffen Sie das Gehirn und das Rückenmark, die Nieren und die Leber, Hals-, Oberschenkel-, Brustwand- und anderer Weichgewebe (siehe Abb. 1a-c). Rhabdoide Tumoren des Gehirns werden auch als AT/RT („atypischer teratoider, rhabdoider Tumor“), solche der Nieren als RTK („rhabdoid tumor of the kidney“) und solche der Weichgewebe als MRT („malignant rhabdoid tumor“) bezeichnet.

Abb.1a: Rhabdoider Tumor des Gehirns

Abb.1b: Rhabdoid-Tumor der linken Niere

Abb.1c: Rhabdoid-Tumor linke Schulter
Häufigkeit und Altersgruppe
Rhabdoide Tumoren betreffen zu 80% Säuglinge und Kleinkinder in den ersten beiden Lebensjahren. So findet man 85% der Nieren-Rhabdoid-Tumoren (RTK) in den ersten beiden
Lebensjahren. Bei rhabdoiden Tumoren des Gehirns (AT/RT) liegt das Durchschnittsalter bei Diagnose bei 20 bis 25 Monaten. Bei rhabdoiden Tumoren der Weichgewebe (MRT) sind immerhin noch 60% der Patienten unter 10 Jahre alt. (Abb. 2a)
Die Daten von EU-RHAB zeigen, dass bei Säuglingen und Kleinkindern die Diagnose AT/RT gleich häufig ist wie die des insgesamt am häufigsten bösartigen Hirntumors bei Kindern und Jugendlichen, dem Medulloblastom. In Deutschland wurden in den letzten 3 Jahren ungefähr 20 Patienten mit Rhabdoidtumoren pro Jahr registriert (Abb. 2b).
An das EURHAB-Register werden Patienten aus mehr als 15 Ländern gemeldet (Abb. 2c).

Abb.2a Verteilung der Rhabdoidtumorgruppen (AT/RT, MRT und RTK)

Abb.2b Meldedaten in das EURHAB-Register aller Lokalisationen seit 2005

Abb.2c Länder, die an das EURHAB-Register melden
Rhabdoid-Tumor-Prädispositionssyndrom
Durch eine Blutentnahme kann das Vorliegen eines „Rhabdoid-Tumor-Prädispositionssyn- droms (RTPS)“ untersucht werden. Bei Nachweis einer Veränderung des Chromosoms 22 im Blut des Patienten liegt eine sogenannte Keimbahnmutation vor. Diese kann entweder neu im Patienten entstanden oder von einem Elternteil vererbt worden sein. Deshalb ist es rat- sam, auch das Blut beider Elternteile und, wenn diese ebenfalls Veränderungen zeigen, auch das Blut der leiblichen Geschwister zu untersuchen.
Leider scheint es ein erhöhtes Risiko für die Geschwister von betroffenen Patienten zu ge- ben. Bei Nachweis einer Keimbahnmutation sollte ein beratendes Gespräch mit einem Hu- mangenetiker stattfinden.
Abbildung 6: Molekulargenetischer Mutationsnachweis mittels MLPA – Multiplex Ligation Probe Amplification – eine Methode zur Detektion von Dosisunterschieden von bis zu 45 verschiedenen Nukleinsäurefragmenten in einem Ansatz. Die genspezifischen Amplifikations- produkte werden anschließend durch Kapillarelektrophorese der Größe nach aufgetrennt und mit der Kontrolle (blaue Balken) verglichen. Es ist eine Dosisreduktion der Exons 8 und 9 auf die Hälfte erkennbar. Dies entspricht einer heterozygoten Deletion in diesem Bereich.

Abb. 5
Charakterisierung rhabdoider Tumoren
Allen drei Gruppen von Rhabdoid-Tumoren ist eine Veränderung auf Chromosom 22 im Gen SMARCB1 gemeinsam.
Eine prominente Ausnahme sind Mutationen des SMARCB4 Gens bei erhaltener INI-1 Expres- sion. Dieses Phänomen wurde erstmals in einer Familie mit einem sogenannten Rhabdoid-Tumor-Prädispositionssyndrom (RTPS) nachgewiesen (Frühwald et al. 2006, Schneppenheim et al. 2010).
Bemerkenswert ist das Fehlen weiterer Mutationen auf anderen Chromosomen, die bei der Aggressivität und ungünstigen Prognose rhabdoider Tumoren zu erwarten wären (Lee et al. 2012). In der Regel sind fortgeschrittene Krebserkrankungen bei Erwachsenen aber auch bei Kindern durch eine Anhäufung von Mutationen in Genen mit Funktionen in der Wachstums-, Zellzyklus- und Invasionskontrolle charakterisiert.
Vorläufige Daten aus Kongressberichten und Abstracts sowie eine neue Publikation von Lee et al. belegen, dass auch mit hochauflösenden Methoden wie z.B. dem „whole genome se- quencing“ Mutationen in rhabdoiden Tumoren auch bei fortgeschrittenen Stadien mit Meta- stasierung nur im Gen SMARCB1 nachgewiesen werden können (Williamson et al., Roberts et al. ISPNO 2012 und Lee et al. 2012). Untersuchungen des Epigenoms, welches für die zeit- und ortsabhängige Expressionssteuerung verantwortlich ist, fehlen in der Literatur. Erste Daten aus Hochdurchsatzverfahren deuten jedoch daraufhin, dass genomische Mutationen zwar fehlen, epigenetische Veränderungen aber nachweisbar sind (Pfister S. und Huang A. personal communication 2012).
Eine biallelische Inaktivierung von SMARCB1 auf Chromosom 22q11.2 führt in Tumoren zu einem Verlust der Expression des Tumorsuppressor-Proteins SMARCB1.
SMARCB1 kodiert für eine Untereinheit des SWI/SNF-„chromatin remodelling Komplexes“. SMARCB1-Protein beeinflusst ATP-abhängig die Struktur des SWI/SNF-„chromatin remodelling Komplexes“ und spielt somit eine entscheidende Rolle in der Steuerung verschiedenster zellulärer Mechanismen wie z.B. von Zellwachstum und - differenzierung (Roberts 2009). Nach aktuellen Modellen muss SMARCB1 aktiv sein um im Kontext des SWI/SNF-Komplexes eine Bindung von Transkriptionsfaktoren an die Erbsubstanz DNA zu ermöglichen und um die Se- kundärstruktur der DNA so zu verändern, dass wichtige Gene abgelesen und exprimiert werden können.
SMARCB1 aktiviert u.a. das Tumorsuppressorgen p16INK4a direkt und hemmt gleichzeitig direkt und indirekt Zellzyklus-aktivierende Kinasen (z.B. CDK4, CyclinD) (Wilson et al 2010). Durch diese Mechanismen verhindert SMARCB1 eine Aktivierung des onkogenen, also krebs- induzierenden, Wachstumsfaktors E2F, welcher normalerweise vom Tumorsuppressor Rb (Retinoblastomgen) gebunden wird.
Auf epigenetischer Ebene hemmt SMARCB1 die Trimethylase EZH2. Diese wurde in einer ganzen Reihe von Tumoren als überexprimiert und aktiviert beschrieben. EZH2 hemmt so- genannte Polycomb-Zielgene, welche wiederum wachstumsfördernde Stammzellprogramme hemmen. Somit führt auch dieser Signalweg zu einer fehlgeleiteten Wachstumsaktivierung (Wilson et al 2011).
Wissenschaftliche Begleitprojekte im Rahmen von EU-RHAB
- Präklinische Testung neuer Substanzen an rhabdoiden Zelllinien (publiziert in Int J Cancer, 2014: Kerl, K., et al., Arsenic trioxide inhibits tumor cell growth in malignant rhabdoid tumors in vitro and in vivo by targeting overexpressed Gli1.) und weiterlaufend
- Auswertung der Daten zur Hochdosistherapie (abgeschlossen und publiziert in Bone Marrow Transplant, 2014: Benesch, M., et al., High-dose chemotherapy (HDCT) with auto-SCT in children with atypical teratoid/rhabdoid tumors (AT/RT): a report from the European Rhabdoid Registry (EU-RHAB)).
- Auswertung molekulargenetischer Ergebnisse (publiziert in Pediatr Blood Cancer, 2013: Kordes, U., et al., Favorable outcome of patients affected by rhabdoid tumors due to rhabdoid tumor predisposition syndrome (RTPS)) und weiterlaufend
- Auswertung der Daten zur Rezidiv- und Dauertherapie
Planung einer Phase I/II- und einer Rezidiv-Studie bei Rhabdoidtumoren
Da es sich bei den derzeitigen Therapieempfehlungen für Rhabdoid-Tumoren bereits um sehr intensive, multimodale Behandlungsschemata handelt, die nur unter Nebenwirkungen und Langzeitschäden weiter zu intensivieren wären, sind neue und schonendere Therapiever- fahren dringend notwendig. Der Einsatz neuer Medikamente ist Voraussetzung für eine wirk- samere Therapie, da Rhabdoid-Tumoren auf derzeit angewandte Chemotherapien nicht aus- reichend ansprechen. Neue Wege in der Therapie dieser Tumoren müssen an die speziellen Bedürfnisse jedes einzelnen betroffenen Kindes angepasst werden. Nur so kann es gelingen, die besonders jungen Kinder ihrem Alter, ihrer Entwicklung und ihrer besonderen Anatomie gemäß zu behandeln.
Viele Kinder sind nach einer intensiven multimodalen Therapie von dauerhaften Schäden ge- zeichnet. Hierzu gehören zum einen Störungen endokriner Organe inklusive Wachstumsstö- rungen, Pubertätsstörungen usw. aber v.a. bei ZNS-Tumoren auch neurokognitive Einschrän- kungen mit den entsprechenden psychosozialen Folgen.
Bei fehlenden weiteren Möglichkeiten die Behandlung intensiver zu machen und dem fehlenden Nachweis eines Nutzens die Therapie noch toxischer als bislang zu gestalten, ist eine Kombination der konventionellen Chemotherapie mit neuen Substanzen die einzig ziel- führende zukünftige Therapiestrategie. Die für alle rhabdoiden Tumoren charakteristische ge- netische Anomalie, die Veränderung (Mutation bzw. Deletion) des SMARCB1 Genortes mit den bekannten nachfolgenden Defekten auf molekularer Ebene sowie eine mögliche Modifikation auf epigenetischer Ebene müssen somit in zukünftigen innovativen Therapieschemata be- rücksichtigt werden.
Die Experten von EU-RHAB planen eine Phase I/II Studie möglichst mit einer innovativen, wahrscheinlich bei Rhabdoid-Tumoren wirksamen Substanz zu initiieren. Weiterhin befindet sich ein neues Behandlungsprotokoll zur wirksameren Behandlung von Rezidivfällen in der Entwicklung.